【醫學與健康科技創新工程進展快報 第59期】
長久以來,人們一直懷疑精神壓力與腫瘤之間存在聯系,而激活機體抗腫瘤免疫應答是腫瘤治療的必由之路。那么,精神壓力是否影響腫瘤治療過程中的抗腫瘤免疫應答,相關機制如何?
2019年9月9日,《Nature Medicine》雜志在線發表了中國醫學科學院蘇州系統醫學研究所馬瑜婷團隊的最新研究成果,揭示了精神壓力導致的神經內分泌系統與免疫系統之間的對話機制,及其對免疫治療與化療結局的影響。
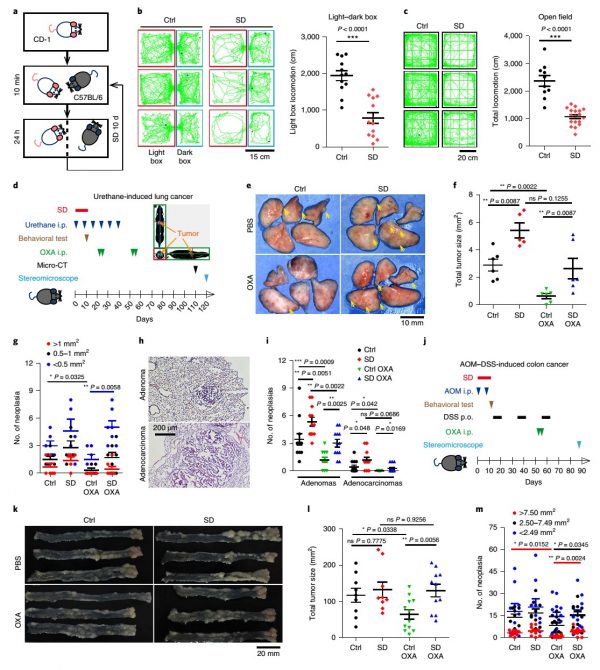
馬瑜婷團隊借助小鼠重復社交挫折(social defeat, SD)模型、急性束縛(acute restraint, AR)模型誘導小鼠精神應激,通過曠場、明暗盒、儀容整理、社交躲避等多種行為學測試指標量化小鼠的焦慮及抑郁表型。在給小鼠皮下移植腫瘤(肺癌、腸癌及骨肉瘤)模型以后,該團隊發現,在致癌物誘導的原發肺癌及腸癌小鼠模型中,精神應激可阻礙化療、腫瘤疫苗和PD-1單抗對小鼠的治療效果。通過對腫瘤免疫微環境和外周血中免疫細胞群及可溶性因子進行系統性解析,該團隊證實:精神應激可導致腫瘤局部及全身系統性的免疫抑制,SD預處理可促使浸潤腫瘤的DC細胞的轉錄組重新編程,抑制腫瘤微環境中的Th1/Tc1應答,還可以對外周血中多種重要細胞因子和趨化因子的表達加以負向調節。

圖:精神應激影響腫瘤進程及化療效果
免疫細胞表達多種神經遞質受體和激素受體,這是神經內分泌系統調控免疫系統的重要分子基礎。為探索精神應激抑制抗腫瘤免疫的分子機制,該團隊分析了皮質酮、血清素及去甲腎上腺素的水平。通過深入解析相關分子機制,該團隊證實:精神壓力誘導的皮質酮上調可使DC細胞內Tsc22d3表達增強,而該分子可抑制腫瘤內DC細胞的I型干擾素應答,并下調其MHC-I/II抗原提呈途徑相關分子的表達。
借助對腫瘤公用數據庫的深入挖掘,以及與南通市腫瘤醫院、中山大學腫瘤防治中心等多個團隊的密切合作,該研究還發現了肺癌(有吸煙經歷者)、腸癌、胃癌組織中高水平的Tsc22d3表達與不良預后具有相關性,而受Tsc22d3抑制的I型干擾素應答代表基因CXCL9及CCL5的低表達也與不良預后顯著相關。該工作從“精神應激調控抗腫瘤免疫”的全新角度深入探索了神經內分泌系統與免疫系統交互作用的分子機制,為腫瘤防治提供全新的理論依據、潛在的治療靶點及可行的治療策略。
特別值得一提的是,糖皮質激素類藥物,如地塞米松和潑地尼松等在臨床被廣泛用于自身免疫性疾病及嚴重炎癥反應的控制、預防和減緩腫瘤化療的副作用,作為抗腫瘤藥物誘導血液腫瘤細胞的死亡,或者作為血小板減少征的治療藥物等。隨著免疫系統在抗腫瘤治療過程中的關鍵作用被發現,糖皮質激素作為強效免疫抑制劑是否應該在癌癥治療中廣泛應用,是否會影響腫瘤控制效果,應用的劑量、時間點及時長如何優化,還有待細致解答。
蘇州系統醫學研究所副研究員楊衡博士、助理研究員夏琳博士、南通大學附屬腫瘤醫院陳健主任醫師為論文共同第一作者;馬瑜婷研究員和研究所榮譽教授、法國巴黎第五大學 Guido Kroemer 教授擔任本篇論文的共同通訊作者。該研究還得到了來自南通大學附屬腫瘤醫院施民新副院長、法國及澳大利亞的多個團隊合作者的熱情支持。該研究能順利完成,要特別感謝國家自然基金委、國家重點研發計劃、中國醫學科學院醫學與健康科技創新工程(項目編號:2016-I2M-1-005、2019-I2M-1-003)、江蘇省杰出青年基金等項目的大力資助。
論文鏈接:https://www.nature.com/articles/s41591-019-0566-4#author-information
(蘇州系統醫學研究所)