2022年12月8日,中國醫學科學院血液病醫院(中國醫學科學院血液學研究所)馮四洲團隊在Journal of Infection《感染病雜志》期刊在線發表了題為“Utility of plasma cell-free DNA next-generation sequencing for diagnosis of infectious diseases in patients with hematological disorders”(游離DNA二代測序在血液病患者感染性疾病中的應用)的研究論文。該研究明確了血液樣本病原宏基因組二代測序(metagenomic Next Generation Sequencing,mNGS)檢測在真實世界中對于血液病患者感染的診斷性能和臨床應用價值,在分子診斷層面進一步揭示了血液病患者感染的流行病學特征。
感染是血液病患者常見并發癥之一,常伴隨免疫功能低下、炎癥相關的臨床癥狀和體征不明顯、感染灶不明確等表現,如未能及時給予恰當的抗菌藥物治療,感染相關死亡率較高。快速、準確的感染診斷對于臨床醫生選擇合適抗菌藥物至關重要。近年來,mNGS作為一種快速、不依賴于培養且無偏倚的診斷方法已在感染診斷領域引起了廣泛關注。血液樣本病原mNGS檢測,既能檢測血液中病原微生物,也可檢測組織器官(如肺部)中感染病原微生物。因此,深入研究與評價血液樣本病原mNGS檢測對血液病患者感染的診斷價值,明確診斷性能,客觀評價該方法的臨床作用對于精確診斷血液病患者感染具有重要的理論和實際意義。
本研究團隊回顧性納入中國醫學科學院血液病醫院(中國醫學科學院血液學研究所)干細胞移植中心、白血病診療中心、貧血診療中心于2020年12月至2021年12月期間進行血液病原mNGS檢測的共計347例次疑似感染病例,其中包括184例次中性粒細胞缺乏(粒缺)期感染與163例次非粒缺期感染病例。
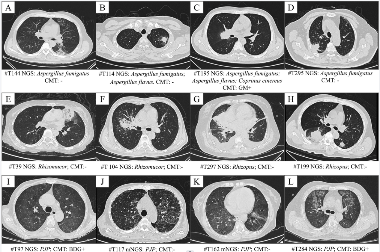
研究顯示,血液樣本病原mNGS檢測的陽性率明顯高于傳統微生物學檢測(72.6% vs. 31.4%),血液樣本病原mNGS檢測的靈敏度為82.6%,特異度為59.0%。與非粒缺組患者相比,粒缺組傳統微生物學檢測陽性率明顯低于非粒缺組,聯合血液樣本病原mNGS檢測可以提高病原檢出率。同時,血液樣本病原mNGS相比傳統微生物學檢測,檢出的微生物種類更多,尤其對于肺孢子菌、毛霉、諾卡菌、分枝桿菌等傳統微生物學檢測陽性率較低的病原種類,血液樣本病原mNGS檢測性能明顯優于傳統微生物學檢測。

隨后,研究者對血液樣本病原mNGS檢測在疑似肺部真菌感染患者中的診斷價值進行分析。結果顯示,曲霉、毛霉、肺孢子菌這三種血液病患者肺部感染最常見的真菌病原,檢出率分別為14.2%、8.1%和5.0%。其中粒缺患者曲霉檢出率高于非粒缺患者,檢出曲霉的23名患者中,傳統微生物學檢測僅檢出10名患者。對檢出真菌的46名患者,臨床醫生對其半數以上進行了藥物調整,優化了抗真菌感染治療策略。

最后,該研究基于感染診斷和治療用藥兩個維度,首次建立了將血液樣本病原mNGS檢測應于臨床真實世界的價值量表評價體系,客觀分析血液樣本病原mNGS檢測的臨床應用價值。在該研究中,血液樣本病原mNGS檢測在病原診斷及抗感染治療中起到積極作用的比例分別為47.8%與38.6%,且粒缺組高于非粒缺組。
總之,該研究首次通過大樣本量病原mNGS檢測的診斷性能評價和臨床價值分析,豐富了血液病患者感染流行病學特征,完善了血液樣本病原mNGS檢測在血液病患者人群真實世界感染狀態中應用的客觀評價,對血液病患者感染的精準診斷具有重要意義。
該研究獲得中國醫學科學院醫學與健康科技創新工程(2021-1-12M-017,2021-I2M-C&T-B-080)、天津市科技計劃項目(21JCZDJC01170)和細胞生態海河實驗室創新基金(HH22KYZX0036)等基金的支持。中國醫學科學院血液病醫院(中國醫學科學院血液學研究所)干細胞移植中心馮四洲主任醫師為通訊作者,中國醫學科學院血液病醫院(中國醫學科學院血液學研究所)臨床檢測中心/協和博精實驗室徐春暉主管技師和干細胞移植中心陳欣副主任醫師為第一作者。
原文鏈接:
https://www.journalofinfection.com/article/S0163-4453(22)00681-8/fulltext