2020年1月24日,北京中日友好醫院曹彬及北京協和醫學院王建偉共同通訊在國際頂級醫學期刊Lancet 在線發表論文,指出新型冠狀病毒(2019-nCoV)感染常見癥狀為發燒、干咳、呼吸困難和肺CT的雙側毛玻璃狀樣變。
研究中,到2020年1月2日,已確認有41名入院患者經實驗室確認2019-nCoV感染。中位年齡為49歲。
41例患者中有27例(66%)曾接觸過華南海鮮市場。
發病時的常見癥狀為發燒(98%),咳嗽(76%)和肌痛或疲勞(44%)。有28%咳痰,8%頭痛,5%咯血和3%腹瀉。
作者指出,很少有2019-nCoV感染的患者出現明顯的上呼吸道體征和癥狀(例如,鼻涕,打噴嚏或喉嚨痛),表明病毒的靶細胞可能位于下呼吸道。
40名患者中,有22名(55%)出現了呼吸困難,從發病到呼吸困難的中位時間為8天。
41名患者中有26名(63%)患有淋巴細胞減少癥。
在41例患者中,有40例(98%)有雙側肺受累。
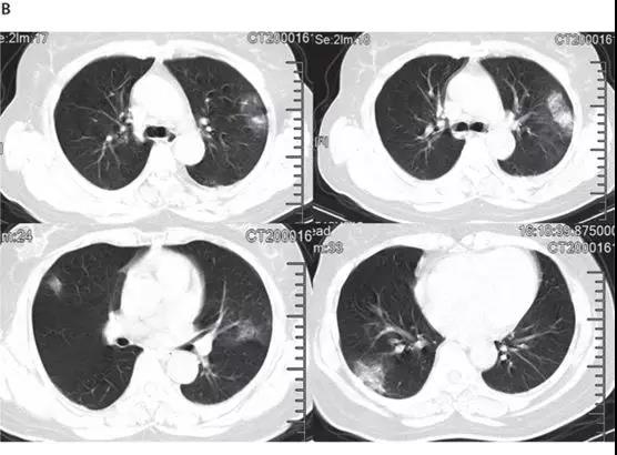
ICU患者入院時胸部CT圖像的典型發現,是雙側多發小葉和亞段實變(見下圖)。

非ICU患者的代表性胸部CT檢查表現為雙側毛玻璃樣混濁和亞段實變(見下圖)。

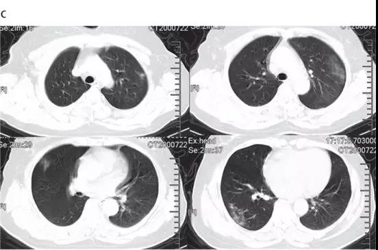
隨后的胸部CT顯示雙側毛玻璃樣混濁,而實變消除(見下圖)。

并發癥包括急性呼吸窘迫綜合征(29%),病毒血癥(15%),急性心臟損傷(12%)和繼發感染(10%)。
在41例患者中,有13例(32%)因需要高流量鼻導管或更高水平的氧氣支持措施來糾正低氧血癥而被送入ICU。其中,六例(15%)死亡。
四例(10%)患者需要有創機械通氣,其中兩人(5%)患有難治性低氧血癥并接受了體外膜氧合(ECMO)治療。
所有患者均接受了經驗性抗生素治療,其中38例(93%)患者接受了抗病毒治療(奧司他韋)。此外,有9名(22%)患者接受了系統性皮質激素治療。
此外,大多數感染的患者是男性(73%),其他基礎病包括糖尿病(20%),高血壓(15%)和心血管疾病(15%)。
截至2020年1月22日, 28例(68%)患者已出院。
作者指出,在2019-nCoV感染中,糖皮質激素經常用于治療重癥患者,以減輕炎癥性肺損傷可能帶來的好處。
但是,SARS和MERS患者的最新證據表明,接受皮質類固醇激素對死亡率沒有影響,但會延遲病毒清除。
因此,根據世界衛生組織的臨時指南,不應常規全身性給予皮質類固醇激素。30在我們的41名經實驗室確認的2019-nCoV感染患者中,極少有非ICU病例使用了皮質類固醇,對不到一半的重癥ARDS患者使用了中低劑量的皮質類固醇。
此外,2019-nCoV患者很少出現腸道體征和癥狀(例如腹瀉),而約20–25%的MERS-CoV或SARS-CoV感染患者患有腹瀉。作者也建議,應當對糞便和尿液樣本進行測試,以排除現階段未知的潛在傳播途徑。
目前迫切需要進一步的證據來評估系統性皮質類固醇激素治療對2019-nCoV感染患者是否有益。
總而言之,2019-nCoV感染引起嚴重的呼吸系統疾病,類似于嚴重的急性呼吸系統綜合癥冠狀病毒,并與入ICU和高死亡率相關。
該研究認為對起源,流行病學,人類傳播的持續時間以及疾病的臨床情況的認識不足,需要通過未來的研究來彌補。
來源:Chaolin Huang, et al. Clinical features of patients infected with 2019 novel coronavirus in Wuhan, China. Lancet. Published: January 24, 2020.
文韜